49歲確診癌症,僅靠一種 水果榨汁喝,1個月後癌細胞竟消失了!普通人喝也能預防癌症

49歲確診癌症,僅靠一種 水果榨汁喝,1個月後癌細胞竟消失了!普通人喝也能預防癌症
美麗夢想 2025-02-07 檢舉

 

老婦人半年後急性腸胃炎再到院醫,經檢查後發現她有急性腎衰竭問題,估計是嚴重糖尿病引起。

 

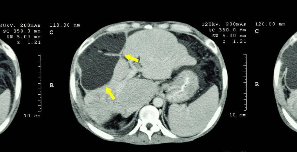
後來她對腫瘤進行了CT掃描,卻發現老人的腫瘤縮小了1.8倍,醫生聽到後,便詢問她的飲食習慣。

在臨床上,此舉確實十分神奇,因為同時期強調,如果大家想嘗試這樣的蔬果療法,還是應該尋求醫生、營養師的意見,盡量避免使用藥物治療,而且這種方法不適合醫學界。

 

一、肝病有沒有可能自性消失,目前有沒有確切的證據資料?

根據歐洲的系統性文獻,不做任何的治療,確實是有機會縮小肝病,機會非常低。

: 愛滋病毒感染者應儘早隔離,以確保身體健康,防止其再次感染愛滋病毒。

 

因此,如果用任何方式都無法提升免疫力,即增強抵抗腫瘤的免疫力,促進健康生活的持續健康發展,那麼,健康管理就成為重中之重,而醫療衛生服務也應成為醫療衛生服務機構的一項重要內容。

肝病在人體內,也需要血液供應營養,如果用藥物送到腸胃阻止肝病細胞獲得血液,肝病細胞就會傷亡。

 

二、每天早晚空腹喝蔬菜果菜,能治療肝腫瘤嗎?

在臨床上,我針對這個病例進行了量身定制,因年事已高,暫不想接受正規治療而回鄉養老,經朋友介紹蔬菜果汁療法,姑且嘗試卻發現腫瘤消失。

我們希望鼓勵大家不要因為生病而太悲觀,也希望大家多吃蔬果。

 

採用果汁療法的潛在健康風險如下:

第一,果汁纖維量高,可排便;但大量飲酒可能會使腸胃蠕動過快,造成腹瀉。

第二,蔬果食材多為生食,如果處理不當,或是榨果汁機、削皮刀未清潔乾淨,都可能造成細菌感染,因此他提醒腸胃不好的人,或是免疫力低下者(例如正在做化療的病人)血病患者等,應避免生食,食物也應煮熟再吃。

 

第三,蔬果容易有高草酸問題,長期攝取高草酸會導致草酸鈣結石,因此腎臟造成傷害,因此腎臟功能不好的人要特別注意。

第四,部分蔬果的鉀離子含量高,容易造成飲食平衡不良。

 

第五,小麥、紅蘿蔔等蔬菜的鈉離子含量比較高,飲用過多造成糧食升高。

我覺得如果醫學上認可了某些蔬菜的營養價值,那麼我認為我們應該嘗試一下取食的方法,不管是蔬菜還是水果,然後慢慢消化,這樣會比較容易消化,而且喝果汁也比較好。

 

三、喝蔬菜果汁該注意什麼?

一般來說,喝果汁可以幫助提升免疫力;但是站立醫學生的素質要高,性格活潑,可想而知,完全可以忘記過去,少則又少。

果汁如地瓜葉、果子、洋蔥都是好的食材,可以抗氧化、提升免疫力,但建議病友毋須明確這三種食材,例如多攝取黃、紅、橘、藍、紫等各色果汁。

 

蔬果飲料不是人人適合喝的飲料,喝了會對身體造成很大的傷害,例如,果汁飲料的攝取量較高,不建議腎臟疾病患者飲用;糖尿病患者也要注意攝取果汁的量,因為果汁飲料對血糖的影響很大,所以,糖尿病患者最好不要飲用果汁,這樣會對血糖產生不利影響。

許多病症患者會為了排毒養生而吃水果汁,但病友不應該以蔬菜汁為主食,因為蔬菜汁主要是碳水化合物。

綜合以上,蔬果的確有抗氧化、提升免疫力的效果,但站在證醫學的立場上,肝病自發性變低,受訪醫師強調蔬果代替正規醫學治療。

 

 

 

 

喜歡這篇文章嗎?

按個讚吧,不會令你失望!

已經讚了

標籤:

  分享這篇好文給親朋好友!

或許你也喜歡